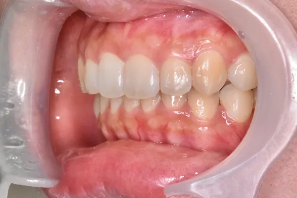
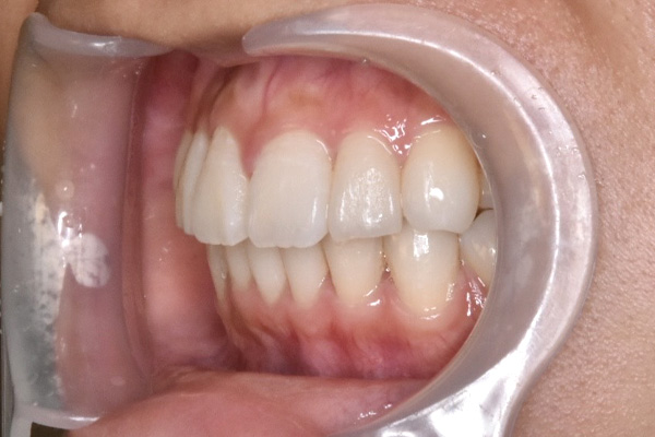
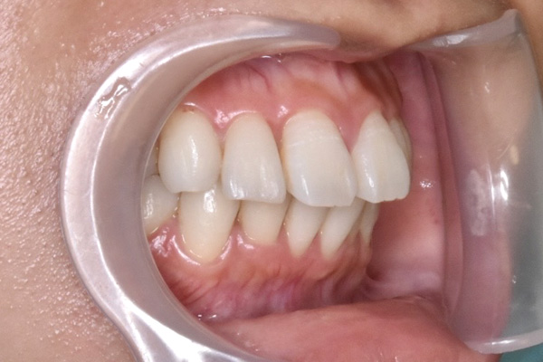
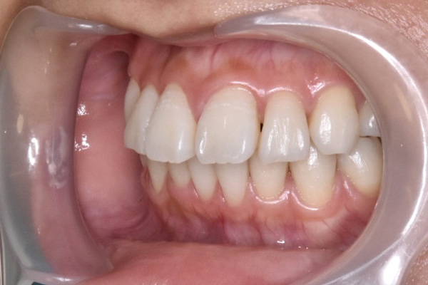
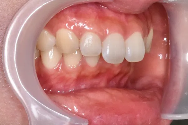
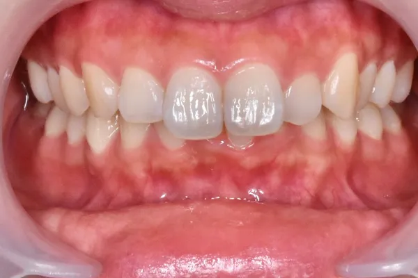
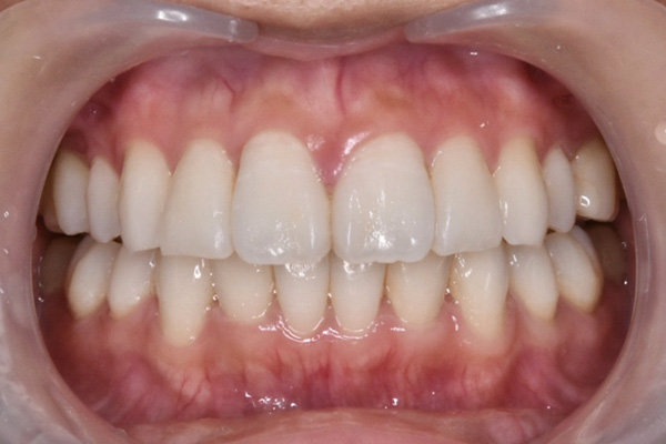
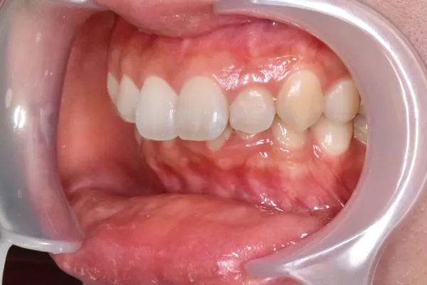
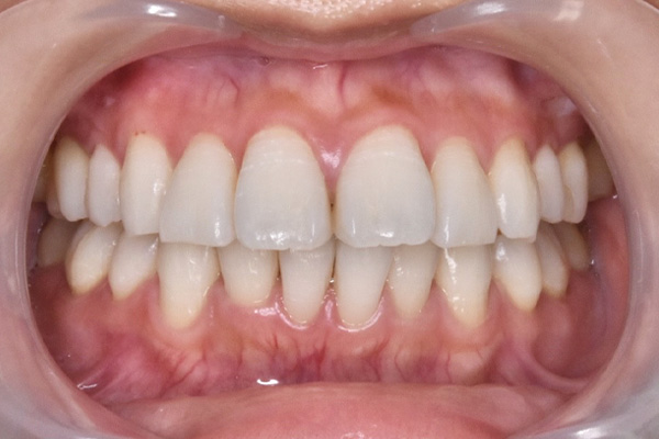
前歯のセラミック治療
(オールセラミッククラウン)
施術前
施術後
施術前
施術後
施術前
施術後
施術前
施術後
| 処置内容 | セラミック治療→オールセラミッククラウン・上6本 ※神経治療なし※ |
|---|---|
| 年代・性別 | 30代・女性 |
| 主訴 | 前歯の虫歯治療と歯の形や色を綺麗に整えたい |
| 期間・回数 | 1ヶ月・3回 |
| 費用 | 660,000円(税込)⭐︎内訳1本110,000円(税込)※諸条件あり |
| リスク・副作用 | 疼痛、冷水痛、咬合痛、腫脹や出血など諸症状が生じることがあります。またセラミックや仮歯は破折や脱離の可能性があります。 |
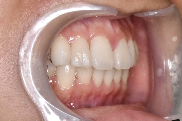
マウスピース矯正
(インビザラインGo)
施術前
施術後
施術前
施術後
施術前
施術後
施術前
施術後
施術前
施術後
施術前
施術後
施術前
施術後
施術前
施術後
施術前
施術後
施術前
施術後
施術前
施術後
施術前
施術後
| 処置内容 | マウスピース矯正(インビザラインGo) |
|---|---|
| 年代・性別 | 20代・女性 |
| 主訴 | 歯並びを綺麗に治したい |
| 期間・回数 | 1年・12回 |
| 費用 | 440,000円(税込) ⭐︎別途シミュレーション代16,500円+ リテーナー代33,000円or66,000円が必要となります。 |
| リスク・副作用 | ※歯の動きには個人差があります。 疼痛や違和感、知覚過敏、歯肉退縮、歯根吸収などの諸症状が生じることがあります。 |
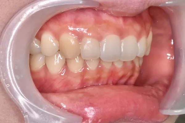
マウスピース矯正
(インビザラインGo)
施術前
施術後
施術前
施術後
施術前
施術後
施術前
施術後
施術前
施術後
施術前
施術後
施術前
施術後
施術前
施術後
施術前
施術後
施術前
施術後
施術前
施術後
施術前
施術後
| 処置内容 | マウスピース矯正(インビザラインGo) |
|---|---|
| 年代・性別 | 20代・女性 |
| 主訴 | かなり前に矯正をしたが後戻りで前歯が出てきてしまったので再度歯列矯正をしたい |
| 期間・回数 | 6ヶ月・5回 |
| 費用 | 440,000円(税込) ⭐︎別途シミュレーション代16,500円 リテーナー代33,000円or66,000円が必要となります。 |
| リスク・副作用 | ※歯の動きには個人差があります。 疼痛や違和感、知覚過敏、歯肉退縮、歯根吸収などの諸症状が生じることがあります。 |
